+91 9193033455 | +91 9193066455

370/11, 26 Civil Lines, NH 58, Roorkee, Uttarakhand

info@digitaldentalsquare.com

Digital Dental Square
  • Home
  • Our Lab
  • Products
    • DMLS
      • DMLS Crown and Bridge
      • DMLS PREFACE implant abutment
      • DMLS customised implant abutment
      • DMLS hybrid denture
      • DMLS Titanium Abutment
      • DMLS Cast Partial Denture
      • DMLS Screw Retained Implant Crown
      • DMLS Cementable Implant Crown
      • DMLS Implant Bar
    • BRACELESS(TM)
    • ALL CERAMIC CROWN
      • Zirconia Solid
      • IPS e.MAX CAD
      • Maryland Bridge
      • Smile Designing
      • Veneers
    • DENTAL IMPLANTS
      • Screw Retained Dental Implants
      • Cementable Titanium Custom Abutment
      • Zirconia Screw Retained bridge
      • Titanium Hybrid Denture
      • Surgical Guides
    • REMOVABLES
      • BPS Denture
      • DIGITAL Denture 3D Printed
      • DIGITAL Denture Milled
      • Precision Attachment
    • MOUTHGAURDS
    • NIGHTGAURD
    • MODELS
  • Digital Services
  • Send a Case
  • Education
  • Contact Us
  • LOGIN

Home

  1. Products
  2. ALL CERAMIC CROWN

Categories

  • DMLS 9
  • ALL CERAMIC CROWN 5
  • REMOVABLES 4
  • DENTAL IMPLANTS 5
  • BRACELESS(TM) 1
  • MOUTHGAURDS 1
  • NIGHTGAURD 1
  • MODELS 1

ALL CERAMIC CROWN

Visual Art

Zirconia Solid

Dental crowns are used to cover the dental implants for covering a tooth and they support the broken or weak tooth. Zirconia is one of the materials that is used in making these crowns. The zirconia crowns are made from zirconium dioxide which is a very durable material. There are 2 types of zirconia crowns and these are monolithic and layered. The monolithic zirconia crown contains zirconium oxide and is very robust and almost unbreakable. These restorations are opaque and are mainly used on the rear jaw. The monolithic crowns do not chip or break or crack easily. They are made using cad cam milling and the color of these crowns can be matched to that of the teeth. In the case of a layered zirconia crown, the ceramic coping has layers of lithium disilicate. These crowns have solid cored and they are covered with soft porcelain.

Read More
Visual Art

IPS e.MAX CAD

IPS-e-max-cad is a versatile glass ceramic material used in a single tooth or hybrid abutment restoration and CAD/CAM applications. It is widely acclaimed for its key characteristic features consisting of excellent light-optical properties, outstanding stability, high precision, and more. The glass ceramic material provides minimally invasive restorations which last for several years. 

Read More
Visual Art

Maryland Bridge

Get yourself the right dentist for dental implantation that enhances your facial and oral features without side effects. This is a good tooth replacement option. But if your bone density is insufficient or your age is more, the dental surgeon recommends resin-bonded fixed partial denture or Maryland Bridges surgery.  They perform an alternative dental restoration surgery to replace a missing tooth with the Maryland Bridges.

Read More
Visual Art

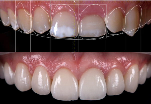
Smile Designing

Smile Designing is an innovative cosmetic treatment that helps in restoring the appearance of your teeth so that you can smile confidently. To design your smile in a beautiful way, specialists use advanced dental procedures like composite bonding, dental veneers, tooth implant, and teeth whitening.   It is a totally painless procedure that can be performed using HD videos and photographs, dental moulds, and X-rays. The surgeon also uses digital scanning of the intraoral cavity in this dental procedure.

Read More
Visual Art

Veneers

Made from porcelain or composite resin, Dental veneers are used for the correction of tooth imperfection. With the help of cementation process, it is attached to the front or anterior surface of the tooth. Veneers are permanent; hence you should be careful while deciding to go through with this procedure. The better option is to consult an experienced dental surgeon for the treatment of your small, dis-coloured or broken teeth or numerous other cosmetic concerns.

Read More
Digital Dental Square

Authentic and innovative.
Built to the smallest detail
with a focus on usability
and performance.

Get in Touch

  • +91 9193033455 | +91 9193066455
  • info@digitaldentalsquare.com
  • 370/11, 26 Civil Lines, NH 58, Roorkee Uttarakhand, India-247667
  • SEND A MESSAGE

Our Products

  • DMLS
  • ALL CERAMIC CROWN
  • DENTAL IMPLANTS
  • REMOVABLES

Important Link

About Us Our Lab Digital Services Send a Case Education Contact Us

© 2022 Digital Dental Square is Design by Digital Prisma.

Search

What are you looking for?

Search for services and news about the best that happens in the world.

Sign In Form

Sign In

Don't have an account? Register now.

Register Form

Register

Have an account? Sign In.

Menu